Protege tu salud contra la tuberculosis
- NPIMX
- 25 mar 2025
- 1 Min. de lectura
Los síntomas incluyen tos productiva, pérdida de peso, fatiga, fiebre, sudoración nocturna, escalofríos y falta de apetito.

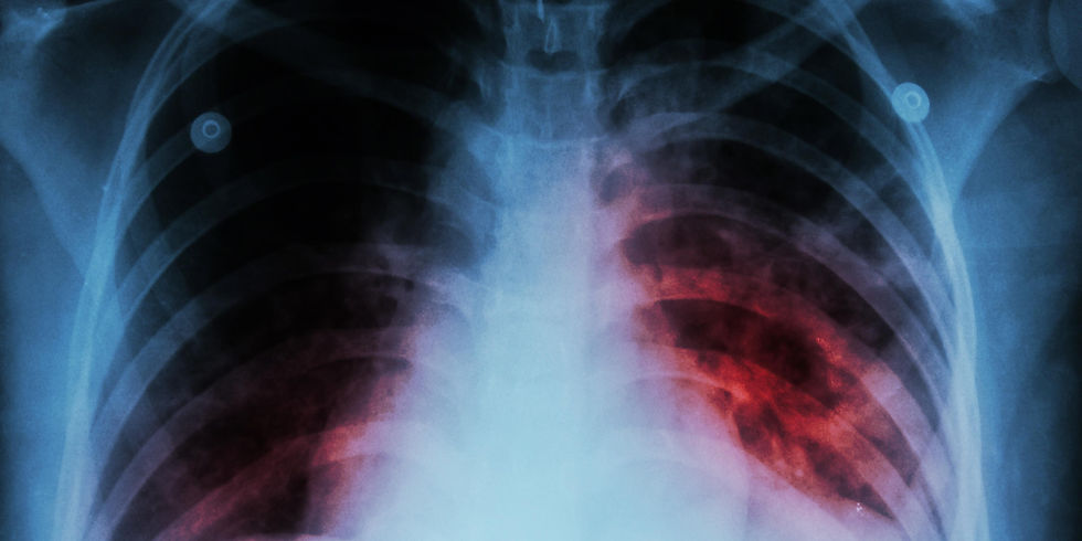
La secretaria de salud hizo un llamado a la población para prevenir la tuberculosis, una enfermedad infecciosa que afecta principalmente los pulmones, pero también puede dañar otros órganos como los ganglios, el cerebro, los riñones y los huesos.
Las personas con diabetes y otras condiciones inmunológicas tienen mayor riesgo de contraerla. Los síntomas incluyen tos productiva, pérdida de peso, fatiga, fiebre, sudoración nocturna, escalofríos y falta de apetito.
Además, aquellos con sistemas inmunitarios débiles, como los afectados por VIH, desnutrición, diabetes, cáncer o el consumo de alcohol, tabaco y drogas, tienen más probabilidades de enfermarse si están cerca de alguien con tuberculosis.
En las unidades médicas de Salamanca se realizan pruebas para detectar la enfermedad, como análisis de laboratorio, radiografías y valoraciones clínicas.








Comentarios